Osmijeh je univerzalni jezik koji premošćuje sve barijere, otvara vrata pozitivnim interakcijama, jača samopouzdanje i ostavlja pozitivan dojam. U svijetu dentalne medicine, estetika osmijeha nije samo pitanje ljepote, već i zdravlja. Upravo o tome smo razgovarali s dr. sc. Renatom Kevilj Gospić, dr. dent. med., koja je, slobodno možemo reći, sinonim za vrhunsku dentalnu skrb i predivne osmijehe koji ostavljaju bez daha. Upravo zato nismo mogli zamisliti bolju adresu na koju ćemo uputiti sva važna pitanja vezana uz brigu o zubima.
Koliko nas izgled zubi može postarati, odnosno pomladiti? Zašto su tzv. aligneri zaludili svijet u posljednjem desetljeću i što mogu učiniti za nas u odrasloj dobi? Kako se rješava čest estetski problem uvučene, odnosno “slabe” brade, može li se ovom problemu pristupiti s ortodontske strane – i kako? Je li holivudski osmijeh rezerviran samo za crvene tepihe ili za njega ima mjesta i u svakodnevnom životu? O ovim smo zanimljivim pitanjima porazgovarali s uglednom stručnjakinjom – dr. sc. Renatom Kevilj Gospić, dr. dent. med., spec. ortodoncije i ravnateljicomPoliklinike LiderDent.
Ova zagrebačka poliklinika kruna je 25-godišnjeg iskustva, ali i strasti prema poslu, pacijentima i neprestanom usavršavanju. Kad je u pitanju briga o pacijentima, dr. sc. Kevilj Gospić vodi se devizom “sve manje od savršenstva nije prihvatljivo”, a njen ju je perfekcionizam kroz dugogodišnju karijeru doveo do statusa jedne od najvećih stručnjakinja u polju ortodoncije, funkcijske dijagnostike i terapije na ovim prostorima.
Koja je granica između “onog nečeg” što nazivamo osobnost i onoga što stomatolozi smatraju devijacijom? Primjerice, Madonna se nikada nije odrekla svog upadljivog razmaka među prednjim zubima.
– Neki pacijenti žele biti posebni i ne odriču se svojih krivih zuba, razmaka, malih brada i velikih noseva. Neki pacijenti ne žele ići kod liječnika ako ih ništa ne boli. Svatko ima pravo na izbor. Moje pitanje je zašto Madonna ima razmak između zubi? Ima li dijagnozu? Je li zatvaranje tog razmaka medicinski opravdano? Razmak između zubi često nastaje zbog ligamenta koji je prevelik i prejak da dopusti prirodno zatvaranje prostora između prednja dva zuba i treba ga odstraniti, to je zahvat koji se zove frenulektomija. Moguće je također da je riječ o dubokom zagrizu i traumatskom otvaranju prostora koji često dovodi do rasklimavanja zubi. Ljudi moraju znati da smo mi liječnici i da dajemo pacijentu plan terapije u skladu sa strukom.
Što mislite o tzv. holivudskim zubima?
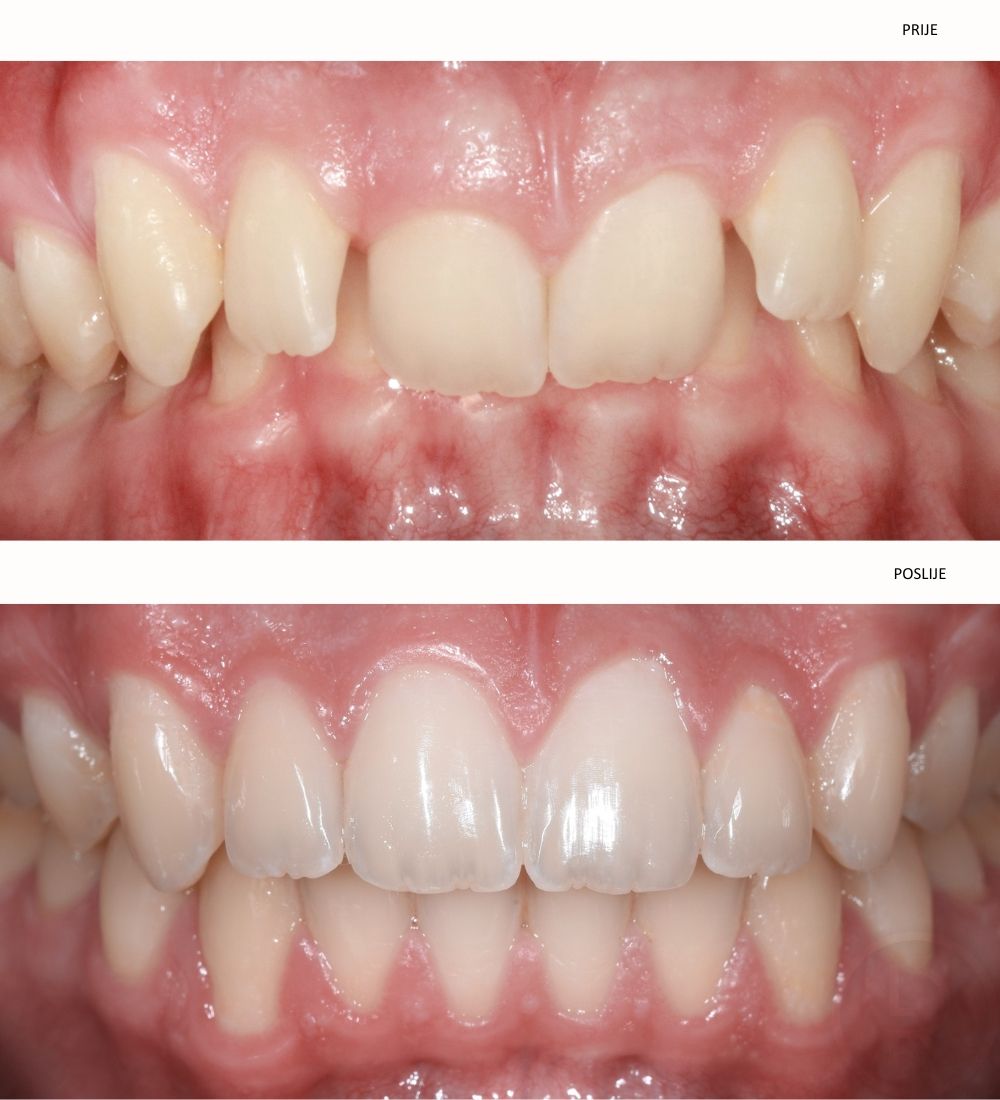
– U današnje vrijeme svi želimo savršen bijeli “holivudski osmijeh” koji rijetko koga ostavlja ravnodušnim. Estetska dentalna medicina razvila je poseban trend koji uključuje niz estetskih zahvata za ”holivudski osmijeh“ – ravni, biserno bijeli i proporcionalni zubi koji savršeno odgovaraju simetriji lica i pružaju prekrasan, neodoljiv osmijeh po kojem su poznate mnoge filmske holivudske zvijezde. Bitno je da pacijenti razumiju da je estetika u dentalnoj medicini samo vanjski dojam i ako nema zadovoljavajuću funkcijsku potporu u smislu visine zagriza i kontakata među svimzubima, neće dati dugotrajno zadovoljavajući rezultat.
Traže li pacijenti takav osmijeh i mogu li ga uopće svi imati?
– Bolesne zube ne smijemo izbjeljivati. Kako bi svi parametri estetike bili zadovoljeni pacijent prije svega mora imati zdrave, čiste i ortodontski ravne korjenove i krune zuba. Zubno meso mora biti zdravo, zubi izbijeljeni i rekonstruirani ljuskicama kojemoraju biti usklađenes bojom kože i dobi pacijenta kako ne bi izgledale previše umjetno. Nitko ne želi da mu se vide zubi koji izgledaju neprirodno. Želite li potpunu rekonstrukciju zubi, tu je multidisciplinarni pristup koji ujedinjuje mnoge grane dentalne medicine kako bi pružio potpuno zdravlje i željeni neodoljivi osmijeh.
Djeluju li takvi zubi pomalo umjetno?
– Kredasto, neprirodno bijeli zubi zasigurno nisu ono čemu itko teži. Iako je “holivudski osmijeh” poznat po savršenoj simetriji i ujednačenosti zubi, za prirodni izgled namjerno se unosi asimetrija kako bi zubi djelovali autentično. Savršena simetrija nije toliko poželjna kao što ljudi misle jer sitne nepravilnosti daju dozu individualnosti. U Poliklinici LiderDent na dizajnu i oralnoj rekonstrukciji osmijeha radi tim stručnjaka dentalne medicine svih specijalističkih grana kako bi osigurali vrhunsko zdravlje i predivan izgled zubi.
Prilikom protetske terapije klijenti, u suradnji s našim protetičarima, sudjeluju u kreiranju vlastitog idealnog osmijeha. Takvim pristupom omogućujemo im da izraze svoje želje i očekivanja, bolje vizualiziraju rezultat te s našim timom stvore idealni prirodni osmijeh. Danas postoje prototipovi koje pacijent može isprobati prije nego što se odluči za finalni rad.
Tko može staviti ljuskice na zube, a tko ne?
– Ljuskice se ne mogu staviti na vitalne tj. liječene zube, na zube koji nemaju dovoljno zdrave površine, na zube mladih pacijenata kojimazubni greben još raste u visinu. Idealne su za pacijente s malim dimenzijama vlastitih zubi i sitnim razmacima između njih. Kada se odlučite raditi ljuskice, najprije radite izbjeljivanje te nakon toga po novoj svjetlijoj nijansi odabirete boju budućih ljuskica.
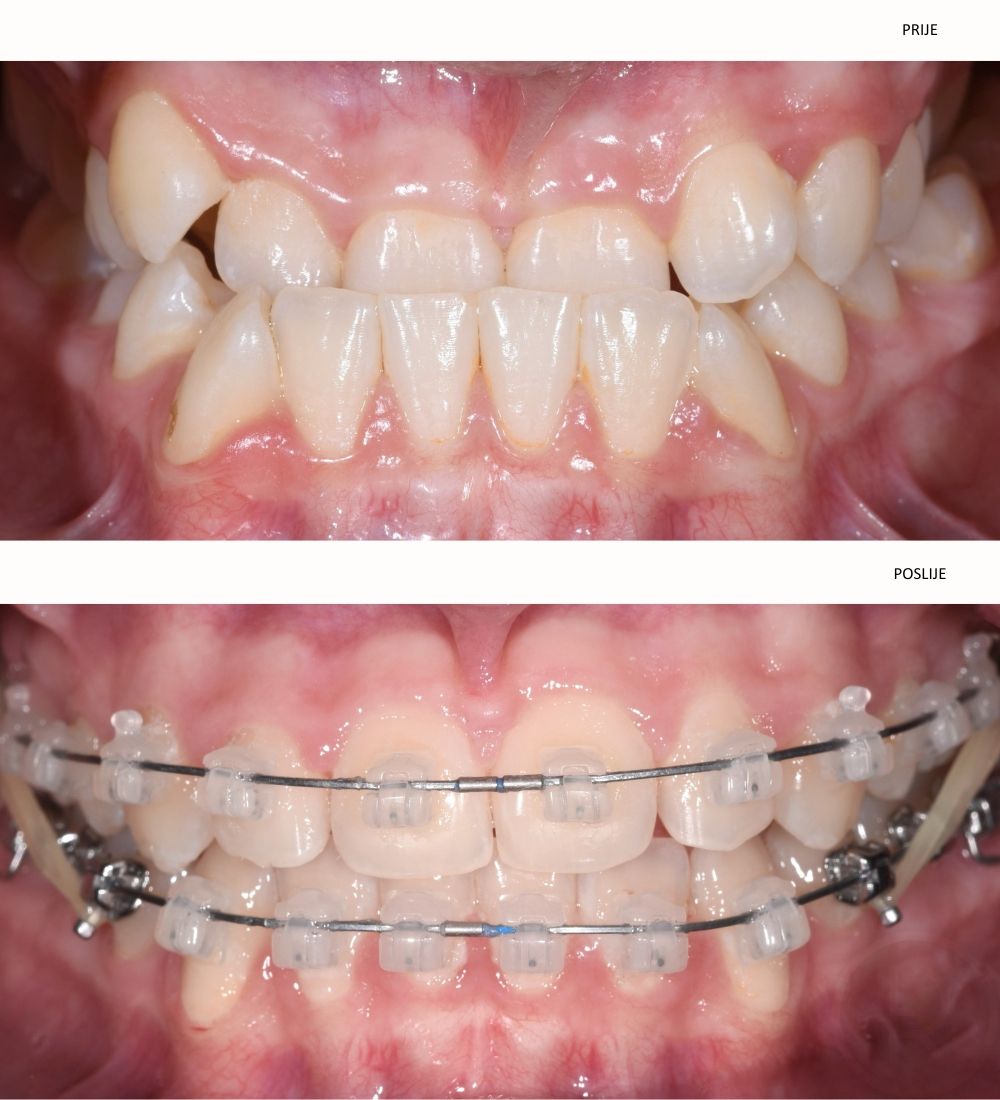
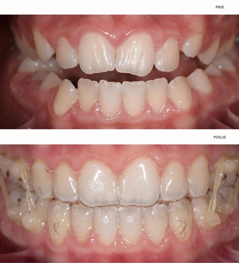
Edukatorica ste i mentorica za Invisalign i Spark, najsuvremeniju verziju aparatića za ispravljanje zubi. Riječ je o dva najveća brenda trenutno na tržištu u Hrvatskoj. Što su aligneri, što ovakva terapija može napraviti za zube u odrasloj dobi i za koliko vremena?
– Aligneri su sadašnjost i budućnost ortodoncije. Volim raditi nove tretmane i donositi novitete na hrvatsko tržište. Uživam u svemu što skraćuje tijek terapije i što je ugodnije i pacijentima i meni. U mojoj struci ima više od 100 vrsta naprava za ravnanje zuba i svaka ima svoje indikacije, no smatram kako ono što ne želite sebi ne radite niti drugima. Moj odabir su bravice i aligneri i njihova kombinacija, a moto “što jednostavnije i brže”. Kada 20 godina radite u struci, ništa vas ne može iznenaditi. Kada su najteži pacijenti vaš najveći izazov, onda nemate ni konkurencije. Danas u struci mogu sve što zaželim. Moji pacijenti su od 7 do 77 godina, od male rotacije jednog zuba do onih ortognatskih s operiranim objema čeljustima i bradom.
Ortodontska terapija je danas normalna u odrasloj dobi i više od 90 % pacijenata tražiprozirne alignere. Pacijenti žele biti u zoni komfora, ne žele misliti na hranu, na pranje zubi i česte odlaske na kontrolu. Maksimalno psihološki mogu dosegnuti terapiju do 50 alignera i nakon toga odbijaju daljnju terapiju. Trebate zaista biti stručnjak u struci i virtuoz u ovoj vrsti terapije kako biste zadovoljili funkcijske aspekte zagriza s malim brojem alignera. Nažalost, s ovom vrstom terapije rade i oni manje vješti, kao i oni koji nisu ortodonti i ne razumiju pomak zuba, pa danas postoji velik broj pacijenata koji terapiju alignerima ponavljaju i drugi put oprezno biraju ortodonta.
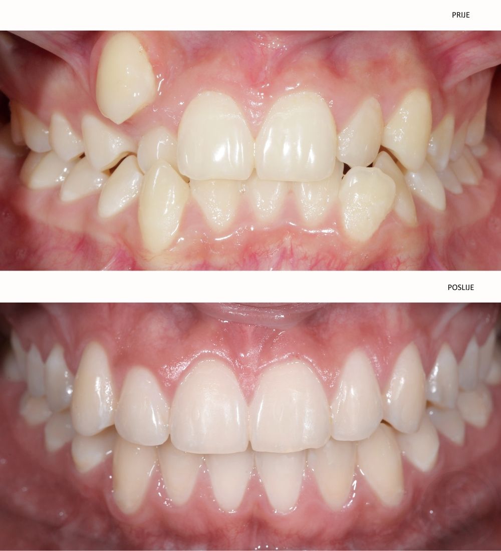
Koje su najčešće ortodontske anomalije današnjice?
– Najčešće su one s retrognatom mandibulom, tj. uvučenom bradom ili pomaknutom donjom čeljusti odostraga ili tzv. ptica profilom. Kada ih se pogleda u profilu, ti pacijenti imaju malu donju čeljust i veliki razmak između gornje i donje čeljusti. Takav nesrazmjer nije moguće korigirati samo pomakom zubi već im je potreban kirurški zahvat s pomakom cijele čeljusti prema naprijed. Takvu proceduru nazivamo ortognata kirurgija.
Kakva je procedura kada je riječ o takvom multidisciplinarnom pristupu?
– Pacijenta za operaciju pripremamo ortodontski s bravicama ili alignerima od 6 mjeseci do 1 godinu, nakon toga se izvodi operacija tzv. osteotomija i/ili segmentacija brade, a potom slijedi još 6-8 mjeseci ortodontske terapije. Znači, da bi se pacijent operirao može se pripremiti i alignerima. Kada dobijete pomak mandibule naprijed u estetskom smislu, nastaje trajna promjena u definiranom izgledu donje čeljusti i ljepšem profilu lica, a funkcijski dolazi do otvaranja zračnog puta, što posljedično rješava problem hrkanja i apneje u snu.
Za kraj, koliko nas zubi mogu pomladiti?
– Godine nose svoje, kako na licu tako i na zubima. Lice pada i gornji zubi postaju manje vidljivi od donjih, tada nas zubi postaraju i trebamo ih produžiti da postanu više vidljivi. Zatim postanu žuti i potrošeni, što također postara pacijenta. Često je kod takozvanih 45+ pacijenata potrebna sanacija, ortodoncija, nekoliko implantata, izbjeljivanje i ljuskice na sve potrošene zube kako prednje, tako i stražnje jer treba zadovoljiti funkcijske i estetske kriterije kako bi osmijeh bio dugotrajno zadovoljavajući. Svi koji žele zdrave i lijepe zube, mogu s povjerenjem doći našim doktorima dentalne medicine na konzultacije i detaljan pregled oralnog zdravlja i oni će im preporučiti najbolju kombinaciju terapije za predivan osmijeh.
Ove web stranice koriste internetske kolačiće kako bi vam omogućile bolje korisničko iskustvo.
Funkcionalni kolačići
Uvijek aktivni
Spremanje ovih kolačića je striktno neophodno zbog legitimnog interesa omogućavanja funkcionalnosti specifično zatraženih od strane korisnika ili zbog općenitog prijenosa elektroničke komunikacije.
Preferences
The technical storage or access is necessary for the legitimate purpose of storing preferences that are not requested by the subscriber or user.
Statistički kolačići
The technical storage or access that is used exclusively for statistical purposes.Spremanje ovih kolačića koristi se isključivo za potrebe obrade statističkih podataka. Bez sudskog poziva, dobrovoljnog pristanka od strane vašeg davatelja internetskih usluga ili dodatne evidencije treće strane, informacije pohranjene ili dohvaćene samo u tu svrhu obično se ne mogu koristiti za vašu identifikaciju.
Marketing
The technical storage or access is required to create user profiles to send advertising, or to track the user on a website or across several websites for similar marketing purposes.