s
profimedia-0853728086-665×435-1
14.06.2024.

Invisalign za početnike – step by step

Danas ćete teško pronaći osobu koja nije čula za Invisalign, prozirne aparatiće koji su bez sumnje jedan od najuzbudljivijih i fascinantnijih izuma u polju ortodoncije i estetike zubi u posljednjih nekoliko desetljeća.

Tanki, prozirni, gotovo neprimjetni aparatići u mnogim su slučajevima donijeli alternativu klasičnim ortodontski rješenjima – bravicama, žicama i bolnim procesima zatezanja. No, mnogo se nepoznanica još uvijek krije iza Invisalign aparatića, a količina pitanja o cijelom procesu, njegovom trajanju i rezultatima daje naslutiti kako mnogi još nisu u potpunosti upoznati s ovom revolucijom u svijetu ortodoncije.

Kad kažemo revolucija – nimalo ne pretjerujemo, jer je prije pojave prozirnih aparatića bilo doista nezamislivo da bi dolazak do pravilnih i ravnih zubi mogao biti ovako jednostavan i bezbolan.

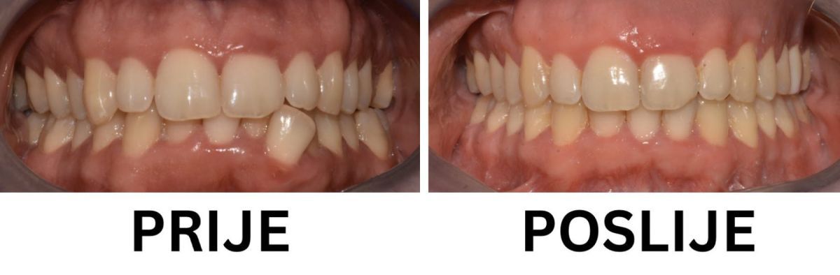
Kako do ravnih zubi bez klasičnih aparatića?

Ovim je načinom moguće postići zaista impresivne promjene u izgledu zubi – neovisno o tome je li potrebno među određenim zubima postići veći razmak, smanjiti postojeći, rotirati njihovu poziciju – a često i sve navedeno. No, kako zapravo cijeli proces izgleda i što očekivati?

Kao i svaka ortodontska terapija, i Invisalign proces započinje posjetom ortodontu, pa smo se i mi po odgovore uputili kod dr. med. dent. Srđana Marelića, specijalista ortodoncije iz Ortodoncije Marelić.

Za razliku od klasične terapije, započinje naš sugovornik, Invisalign donosi inovativni i zapravo radikalno drugačiji proces ispravljanja zubi. Prije svega, potrebno je utvrditi vrstu i kompleksnost anomalije koju pacijent želi ispraviti, a proces “korak po korak” odvija se kroz nekoliko ključnih etapa.

Kome povjeriti brigu o svom budućem osmijehu?

Možda i najvažniji korak u cijelom procesu bit će odabir stručnjaka kojem ćete povjeriti brigu o svom budućem osmijehu. Dr. med. dent. Srđan Marelić vrsni je ortodont s dugogodišnjim iskustvom koji je u Ortodonciji Marelić među prvima u Hrvatskoj doveo Invisalign na domaće tržište, a njegovoj je ordinaciji dodijeljena i titula Platinum Elite II Invisalign Providera – koja se dodjeljuje samo najiskusnijim stručnjacima.

Inicijalne konzultacije omogućit će vam ne samo da porazgovarate sa stručnjakom, iznesete svoje želje i utvrdite koliko je vaš problem uopće kompleksan, već i da saznate koje su sve mogućnosti pred vama – odnosno jeste li kandidat za najmoderniju ortodontsku terapiju prozirnim aparatićima?

Rješava i najkompleksnije nepravilnosti

“Invisalign udlage kreirane su za ispravljanje čak i najkompleksnijih nepravilnosti – a pacijentima naročito odgovaraju jer nisu samo funkcionalne u ispravljanju osmijeha, već i izrazito estetski prihvatljive. Činjenica da su neprimjetne u ustima zaista čini veliku razliku, jer ih se pacijenti svih dobnih skupina ne ustručavaju nositi – vizualno njihov osmijeh izgleda nepromijenjeno dok terapija traje”, ističe naš sugovornik.

Naravno, cijeli proces kreće uzimanjem digitalnog otiska zuba i čeljusti – zahvaljujući najmodernijem 3D skeneru, nema potrebe za korištenjem većini mrske otisne mase, što je mnogim pacijentima izrazito važna prednost. Nakon dodatnog fotografiranja zagriza i osmijeha, slijedi planiranje terapije i mapiranje željenog pomaka zubi na temelju podataka prikupljenih 3D snimkama.

Disciplina pacijenta ključan je dio procesa

Zatim slijedi izrada paketa personaliziranih alignera, odnosno udlaga – koje ćete dobiti već nakon nekoliko tjedana. To je trenutak u kojem vaš putem prema savršenom osmijehu službeno počinje!

Iako ovaj tip aparatića opravdano smatramo elegantnijim rješenjem od klasičnih bravica i žica, imajte na umu kako je za postizanje rezultata važna iznimna disciplina i posvećenost procesu. Dr. med. dent. Srđan Marelić ističe kako je Invisalign udlage potrebno nositi 22 sata dnevno, a skidate ih isključivo u vrijeme jela i pranja zubi. Osim toga, promjene u zagrizu i položaju zubi se ovim tipom terapije postižu poprilično brzo, pa je alignere potrebno mijenjati svakih 7 do 10 dana, prema planu koji je izradio vaš ortodont.

Kad su u pitanju bolovi, i kod ovog tipa terapije može se očekivati nelagoda i manji bolovi u prvih nekoliko dana nošenja novog seta, no važno je naglasiti kako su oni mnogo slabiji i kratkotrajniji u odnosu na bolove nakon postavljanja klasičnih bravica i žica.

Izbjegnite većinu problema povezanih s klasičnom ortodontskom terapijom

“Još jedna velika prednost za pacijente leži u tome što ovaj vid terapije iziskuje rjeđe posjete ortodontu od klasičnih ortodontskih rješenja, a s ovim vidom terapije nemamo niti hitna stanja koja pacijentu uzrokuju bol ili nelagodu”, objašnjava iskusni specijalist ortodoncije.

Ako se pitate jeste li kandidat za Invisalign terapiju, naš sugovornik ističe kako čak niti značajne nepravilnosti u položaju zubi nisu prepreka te da je pogrešna pretpostavka kako je ovaj tip aparatića namijenjen samo postizanju blagih korekcija – no ipak postoje uvjeti koje je potrebno zadovoljiti prije početka Invisalign terapije.

“Prije početka terapije Invisalign aparatićima potrebno je sanirati sve eventualne probleme i očistiti kamenac – jer svi zubi moraju biti zdravi prije bilo kakve ortodontske intervencije”.

S obzirom na to da je Invisalign terapija pogodna i za kompleksnije slučajeve čak niti jaka zbijenost zubi nije prepreka za terapiju”, ističe dr. med. dent. Srđan Marelić.

Nakon propisanog nošenja alignera i završetka terapije, najčešće pitanje koje naš sugovornik čuje je – jesu li rezultati trajni?

“Rezultati ovog tipa terapija su dugotrajni uz pravilnu brigu. Pacijenti koji nastave nositi ‘retainere’ prema planu i prakticiraju dobru oralnu higijenu, mogu uživati u svom novom osmijehu dugotrajno. No, važno je upamtiti kako se naše tijelo, pa tako i čeljust s godinama mijenja te može doći do pomaka zubi s godinama”, objašnjava.

Najnovije na estetica.hr